产品中心
近日,《中国生物制品学杂志》2026年第2期上发表了题为《细胞种属鉴别多重PCR法的优化及验证》的研究论文。该研究对原有细胞种属鉴别多重PCR法进行了系统性再优化与大规模验证,成功建立了一种快速、灵敏、高稳健性的标准化检测方法,为2025年版《中国药典》新增通则3430提供了坚实的技术支撑。
本研究针对猪、中国仓鼠、非洲绿猴和大鼠4个物种的引物序列及核酸提取方式、引物和参比细胞混合基因组DNA的配比、PCR扩增程序及DNA模板用量等关键参数逐一优化,优化后的方法操作流程标准化,无需复杂操作,可实现单管单次反应完成多物种检测,彻底解决原方法跨实验室应用时非特异性扩增、条带缺失的问题,耐用性大幅提升。
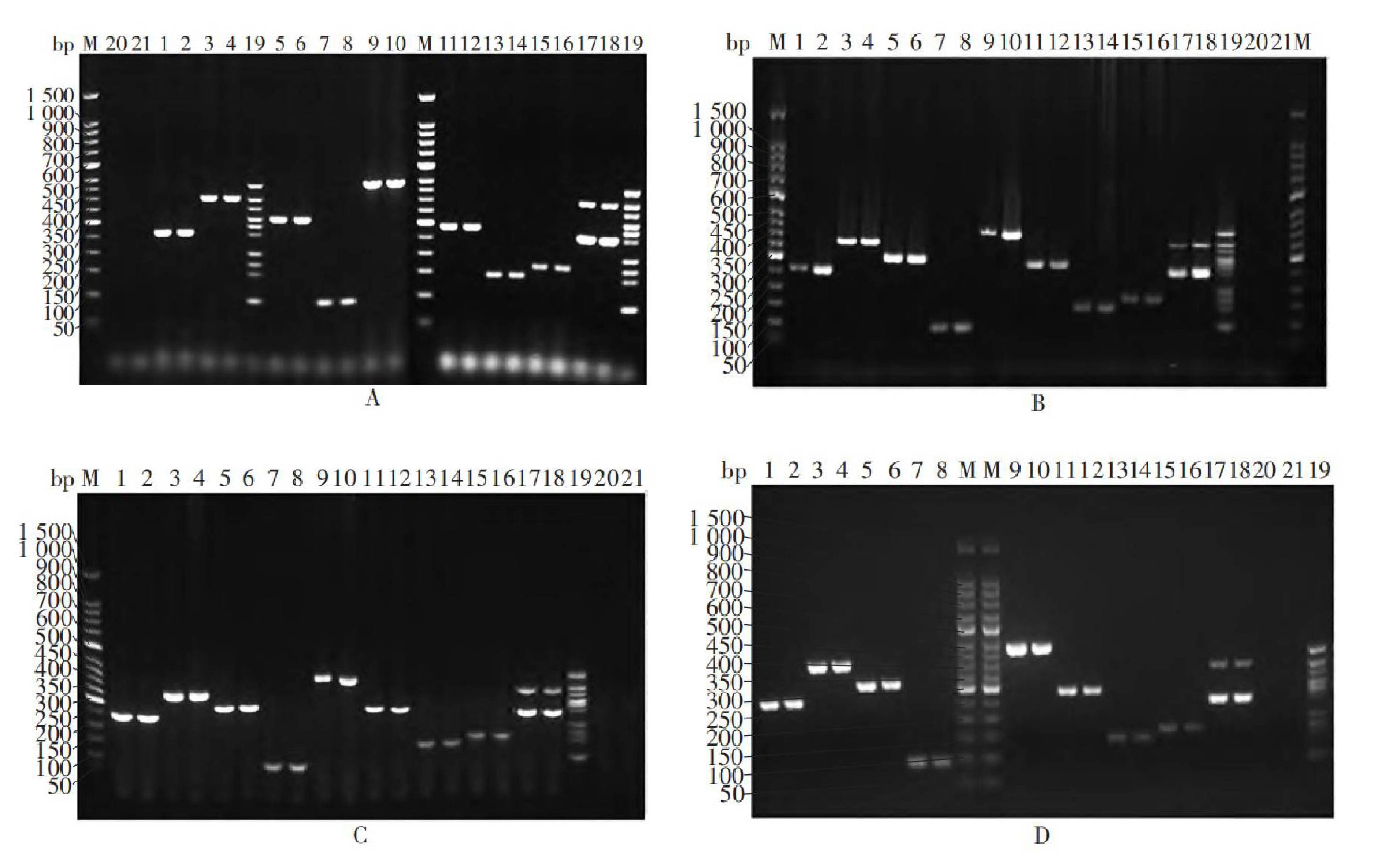
经过对优化后方法的灵敏度、交叉污染检测限度及不同实验室间复核的多重严苛验证,该方法检测性能表现亮眼,可成功用于10个种属(猪、人、猫、中国仓鼠、恒河猴、非洲绿猴、大鼠、犬、小鼠、牛)的细胞鉴别检测,检测灵敏度可达50 ~ 5 000个细胞,同时,在交叉污染的检测上灵敏度也较高,可检测到1∶100 ~ 1∶10 000的细胞污染,并在4家不同实验室盲样验证均100%成功,可准确判定单一种属细胞,也能精准识别交叉污染样本的主细胞与污染种属。

A~D:分别为4家复核验证实验室(1,2:S1;3,4:S2;5,6:S3;7,8:S4;9,10:S5;11,12:S6;13,14:S7;15,16:S8;17,18:S9;19:10个种属的混合细胞基因组 DNA;20:NTC;21:NCS;M:50 bp DNA ladder)。
图1:复核验证结果
在生物制药与细胞治疗领域,细胞是研发与生产的核心“种子”。然而,细胞混淆与交叉污染一直是困扰行业的“幽灵”,可能导致实验数据失真、工艺不稳定,甚至引发严重的产品安全性问题。传统鉴别方法如同工酶法灵敏度低、染色体核型分析操作繁琐,已难以满足现代产业对高通量、标准化、高灵敏度质控的迫切需求。
本研究确立的方法凭借其特异性强、灵敏度高、操作简便、跨实验室适用性好的综合优势,可应用于生物制药研发、生产、检定各环节的细胞种属鉴别与交叉污染检测,为生产用细胞、检定用细胞的质量把控提供标准化技术手段,且该方法已被收录于2025年版《中华人民共和国药典》第3430章节,这标志着该方法从一项实验室优化技术,正式成为了国家层面的法定检测标准,为整个生物制药行业的细胞质量控制提供了统一、权威的技术依据。
点击链接获取文献,《细胞种属鉴别多重PCR法的优化及验证》
参考文献:
[1]吴雪伶,张琪梦,纳涛,等.细胞种属鉴别多重PCR法的优化及验证[J].中国生物制品学志,2026,39(02):180-188.DOI:10.13200/j.cnki.cjb.004655.
产品推荐:细胞种属鉴别检测试剂盒(多重 PCR 法)
产品特点:
| 特异性高 | PCR扩增子明确单一。 |
| 操作简单 | 试剂盒含提取缓冲液,提取细胞DNA后直接进行PCR扩增,免去了复杂的细胞DNA提取纯化过程。 |
| 检测灵敏度高 | 交叉污染检测限可达到1%及以下,细胞用量可少至5×10⁵。 |
| 检测效率高 | 采用单孔10重反应体系,提高了检测效率。 |
| 真实客观 | 以细胞数量为单位来反映可能存在的污染情况。 |
| 结果确定 | 根据扩增子的条带数量和条带大小进行结果判定,更清晰明了。 |
| 自主研发和稳定供应 | 组分自主研发,可保证供货和批次间质量稳定。 |